Radiofrequenza
Una procedura indolore dai rapidi risultati per migliorare la respirazione in casi specifici di ipertrofia dei turbinati. Negli anni la procedura a volte va ripetuta.
Radiofrequenza
Una procedura indolore dai rapidi risultati per migliorare la respirazione in casi specifici
di ipertrofia dei turbinati. Negli anni la procedura a volte va ripetuta.
COS’È LA CHIRURGIA CON RADIOFREQUENZE

È una diatermocoagulazione programmata ad alta frequenza.
Si possono utilizzare due modalità:
- Alta potenza
Si ottiene una rapida disidratazione con un tempo di applicazione ridotto e con esigui volumi di tessuti coagulati. - Bassa potenza
Si ottiene una lenta disidratazione con un lungo tempo di applicazione e cospicui volumi di tessuti coagulati
In genere noi utilizziamo le alte potenze ed i tempi brevi, in tal modo non si provoca diffusione termica o elettrica ai tessuti circostanti ma si provoca la sola riduzione volumetrica dell’area trattata: il tempo di emissione è di pochi secondi ed il tempo di applicazione varia da paziente a paziente in base alla patologia.
COS’È LA CHIRURGIA CON RADIOFREQUENZE

È una diatermocoagulazione programmata ad alta frequenza.
Si possono utilizzare due modalità:
- Alta potenza
Si ottiene una rapida disidratazione con un tempo di applicazione ridotto e con esigui volumi di tessuti coagulati. - Bassa potenza
Si ottiene una lenta disidratazione con un lungo tempo di applicazione e cospicui volumi di tessuti coagulati
In genere noi utilizziamo le alte potenze ed i tempi brevi, in tal modo non si provoca diffusione termica o elettrica ai tessuti circostanti ma si provoca la sola riduzione volumetrica dell’area trattata: il tempo di emissione è di pochi secondi ed il tempo di applicazione varia da paziente a paziente in base alla patologia.
COME SI UTILIZZA IN OTORINOLARINGOIATRIA
Questa tecnica è utilizzata prevalentemente nel trattamento conservativo dell’ipertrofia (rigonfiamento) dei turbinati. I turbinati, nella parete laterale nasale, garantiscono il riscaldamento e l’umidificazione dell’aria inspirata. Tuttavia, se si rigonfiano in maniera persistente, come avviene spesso per allergia, sinusite cronica, esposizione a sostanze irritanti, deviazione del setto opposta alla parte che poi si ipertrofizza, aumento di peso, predisposizione genetica, provocano una difficoltà respiratoria persistente.
I TURBINATI NASALI (INFERIORI, MEDI, SUPERIORI)
I turbinati sono strutture ossee rivestite di mucosa riccamente vascolarizzata, che occupano la parete laterale del naso, lateralmente al setto. In genere sono presenti 3 turbinati per fossa nasale: inferiore, medio e superiore; in alcuni individui esiste un quarto turbinato, il supremo. I turbinati hanno la funzione di riscaldare, umidificare e filtrare l’aria che respiriamo, al fine di ottimizzare gli scambi gassosi fra polmoni e sangue.


Il naso ed i seni (cavità) paranasali
L’ipertrofia dei turbinati interessa soprattutto i turbinati inferiori, i più grandi e significativi funzionalmente e costringe non di rado all’uso cronico di spray nasali decongestionanti per poter respirare in maniera sufficiente. Si ha così una temporanea retrazione della mucosa dei turbinati, cui segue per dopo poco un rilasciamento e quindi la necessità di nuovo utilizzo di vasocostrittori, con l’effetto di sviluppare una sorta di dipendenza verso questi farmaci.
I TURBINATI NASALI (INFERIORI, MEDI, SUPERIORI)

I turbinati sono strutture ossee rivestite di mucosa riccamente vascolarizzata, che occupano la parete laterale del naso, lateralmente al setto. In genere sono presenti 3 turbinati per fossa nasale: inferiore, medio e superiore; in alcuni individui esiste un quarto turbinato, il supremo. I turbinati hanno la funzione di riscaldare, umidificare e filtrare l’aria che respiriamo, al fine di ottimizzare gli scambi gassosi fra polmoni e sangue.

Il naso ed i seni (cavità) paranasali
L’ipertrofia dei turbinati interessa soprattutto i turbinati inferiori, i più grandi e significativi funzionalmente e costringe non di rado all’uso cronico di spray nasali decongestionanti per poter respirare in maniera sufficiente. Si ha così una temporanea retrazione della mucosa dei turbinati, cui segue per dopo poco un rilasciamento e quindi la necessità di nuovo utilizzo di vasocostrittori, con l’effetto di sviluppare una sorta di dipendenza verso questi farmaci.
QUALI SONO LE COMPLICAZIONI
DI UNA DIFETTOSA RESPIRAZIONE NASALE?
- Il muco si accumula nelle cavità del massiccio facciale.
- Insorgenza di sinusite cronica
- Frequenti raffreddori
- Diminuzione ed alterazioni dell’olfatto
- Crostosità e sanguinamenti nasali
- Frequenti otiti
- Insorgenza di asma bronchiale
- Comparsa di russamento ed apnee del sonno
- Mal di testa ricorrente
- Maggiore faticabilità e “fiato corto”
MODALITÀ
Un manipolo specifico viene inserito nella sottomucosa del turbinato ipertrofico, in genere il turbinato inferiore, il cui tessuto in eccesso subisce un processo di vaporizzazione. Si ottiene in tal modo uno spazio maggiore nella fossa nasale corrispondente, senza la necessità di alterarne l’architettura osteocartilaginea. La procedura è quasi sempre bilaterale.
La terapia è eseguita in anestesia locale, simile a quella del dentista senza necessità di esami preoperatori, non richiede tamponamento post operatorio ne alcuna terapia antibiotica e consente la ripresa delle normali attività già in giornata. Durante l’intervento non viene provocato sanguinamento significativo ed il dolore per il paziente è pressoché assente. La riduzione volumetrica dei turbinati inferiori, nei casi di russamento nasale, riduce anche il rumore respiratorio notturno.

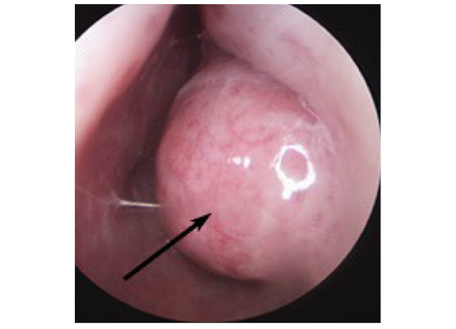
Ipertrofia del turbinato inferiore
MODALITÀ
Un manipolo specifico viene inserito nella sottomucosa del turbinato ipertrofico, in genere il turbinato inferiore, il cui tessuto in eccesso subisce un processo di vaporizzazione. Si ottiene in tal modo uno spazio maggiore nella fossa nasale corrispondente, senza la necessità di alterarne l’architettura osteocartilaginea. La procedura è quasi sempre bilaterale.

Ipertrofia del turbinato inferiore
La terapia è eseguita in anestesia locale, simile a quella del dentista senza necessità di esami preoperatori, non richiede tamponamento post operatorio ne alcuna terapia antibiotica e consente la ripresa delle normali attività già in giornata. Durante l’intervento non viene provocato sanguinamento significativo ed il dolore per il paziente è pressoché assente. La riduzione volumetrica dei turbinati inferiori, nei casi di russamento nasale, riduce anche il rumore respiratorio notturno.

Turbinato normale

Lieve Ipertrofia

Marcata ipertrofia

Intervento in Radiofrequenze

Al termine del trattamento con radiofrequenza dell’ipertrofia dei turbinati, lo spazio respiratorio nasale risulta notevolmente aumentato.
RISULTATI
Il terminale invia impulsi brevi ed intensi ad alta frequenza sulle fibre nervose presenti sulla superficie del turbinato, attivando una sorta di “devitalizzazione” di queste fibre, e un blocco dei recettori sensoriali del nervo trigemino. Si ottiene così non solo una riduzione dell’ipertrofia congestizia del turbinato ma porta anche una diminuzione delle fastidiose ipersecrezioni nasali, con ulteriore miglioramento della sintomatologia della persona. Il ripristino di una buona respirazione nasale si traduce in:
Migliore qualità della vita
Maggior capacità di attenzione e concentrazione
Minori infezioni delle vie respiratorie
Minore faticabilità
Maggiore efficienza fisica
Migliore qualità del sonno
Riduzione del russamento notturno
Miglior recupero delle energie
Migliore qualità della vita
Maggior capacità di attenzione e concentrazione
Minori infezioni delle vie respiratorie
Minore faticabilità
Maggiore efficienza fisica
Migliore qualità del sonno
Riduzione del russamento notturno
Miglior recupero delle energie
RADIOFREQUENZE IN CASO DI IPERTROFIA DEL PALATO MOLLE
Nei casi in cui il russamento sia dovuto ad aumentato volume e lassità delle mucose del palato molle e dell’ugola, si può perseguire la riduzione del tessuto alterato, (Sclero Riduzione Tissutale non ablativa del palato) inserendo il terminale delle radiofrequenze nello spessore del palato ed erogando energia controllata per 10-15 secondi, in tempi successivi. Si ottiene così la coagulazione e la retrazione cicatriziale del tessuto in eccesso, la riduzione volumetrica del palato e l’irrigidimento del tessuto molle flottante responsabile del russamento. L’intervento viene eseguito in anestesia locale, senza sanguinamento significativo ne dolore significativo per la persona. Il lieve dolore faringeo scompare in 1-2 giorni. Il pieno risultato si esplica dopo circa un mese.
Tuttavia noi riteniamo che mentre sui turbinati ipertrofici l’effetto delle radiofrequenze è molto buono, i risultati della retrazione del palato mediante radiofrequenze non sono soddisfacenti per i pazienti. Questo perché se l’ipertrofia dell’ugola e del palato è lieve, le radiofrequenze sono utili ma la persona in genere non ha motivo di fastidio significativo, se invece l’ipertrofia dell’ugola e del palato è importante, la riduzione con radiofrequenze non è adeguata, e noi preferiamo in questi casi l’uvulopalatoplastica che è grandemente migliorativa.