"Ho portato le tecniche microchirurgiche nella chirurgia di tutti i campi della specialità, non solo orecchio e base cranica ma anche naso, seni paranasali, ghiandole salivari, laringe e così via."

"Ho portato le tecniche microchirurgiche nella chirurgia di tutti i campi della specialità, non solo orecchio e base cranica ma anche naso, seni paranasali, ghiandole salivari, laringe e così via."

INNOVAZIONI CHIRURGICHE
Utilizza tecniche chirurgiche innovative frutto dei lavori scientifici pubblicati, dei libri scritti, dei brevetti depositati e dei progetti internazionali in fase di realizzazione.
Innovazione chirurgica
Una delle innovazioni portate dal prof. Salvinelli è l’utilizzo della tecnica microchirurgica applicata non solo alla otoneurochirurgia e alla chirurgia dell’orecchio ma anche in quasi tutti gli interventi della Otorinolaringoiatria.
Questa tecnica consente la stessa precisione sia negli interventi per i tumori cerebrali che nella chirurgia del setto nasale, dei seni paranasali, del massiccio facciale, delle ghiandole salivari, del collo, della laringe.
Nella Foto
La strumentazione utilizzata in quasi tutti gli interventi: a destra il microscopio neurochirurgico, in primo piano a destra e a sinistra i due laser, in fondo le ottiche.
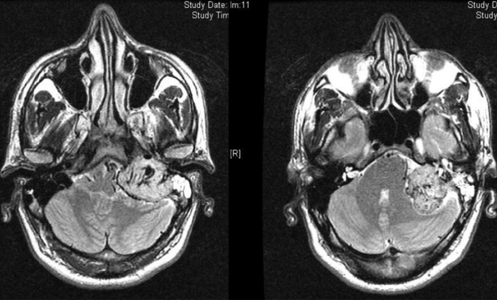
In questa immagine quattro tra i pazienti operati dal prof. Salvinelli.
A destra
nella Risonanza magnetica (RMN) preoperatoria si vede il tumore con colore bianco che si espande nel cervello
Al centro
si vede la RMN post operatoria.
A sinistra
la TAC postoperatoria.
Si nota che con queste tecniche la patologia viene rimossa e le strutture cerebrali vengono massimamente rispettate.

Case history

In questa immagine quattro tra i pazienti operati dal prof. Salvinelli.
A destra
nella Risonanza magnetica (RMN) preoperatoria si vede il tumore con colore bianco che si espande nel cervello
Al centro
si vede la RMN post operatoria.
A sinistra
la TAC postoperatoria.
Si nota che con queste tecniche la patologia viene rimossa e le strutture cerebrali vengono massimamente rispettate.
Case history
UN GLOMO CAROTICO GIUGULARE:
LESIONE INFILTRANTE E GRANDEMENTE SANGUINANTE DI ENORMI DIMENSIONI
Considerato da quasi tutti non operabile, è l’intervento chirurgico più difficile della medicina.

Nella RMN si vede nelle due metà a sinistra in corrispondenza dell’orecchio il nero corrispondente all’aria, mentre nelle due metà a destra si vede una neoformazione grigia irregolare che occupa tutto l’orecchio ed entra profondamente nel cervelletto (struttura triangolare inferiore). La lesione infiltrava la giugulare, la carotide e scendeva nel collo ad interessare i nervi glossofaringeo, vago, spinale, ipoglosso.

RMN post operatoria (2010).
La lesione è stata completamente rimossa dall’orecchio, dal cervelletto, dal collo. Le strutture cerebrali e nervose sono conservate.
Il paziente è stato dimesso e sta bene.
Innovazione chirurgica
TECNICA MECA
Un’ altra innovazione è l’associazione nella chirurgia dei seni paranasali delle tecniche microchirurgiche microscopiche con le tecniche endoscopiche.
Il microscopio consente rispetto alle ottiche una superiore velocità e capacità di ingrandimento nelle visioni frontali e mai si appanna. Le ottiche sono insostituibili nelle visioni laterali e nel portare la visione a pochi mm da dove serve. L’utilizzo combinato in sinergia delle due tecniche consente di avere i migliori risultati possibili perché è come se si fosse operati da due chirurghi differenti con tecniche complementari.
Nella Foto
Preparazione per un intervento di chirurgia del naso e dei seni paranasali. Sul retro il microscopio operatorio, al centro l’infermiera ferrista ed i tavoli servitori, a destra l’attrezzatura per le ottiche
Innovazione chirurgica
TECNICA MECA
Un’ altra innovazione è l’associazione nella chirurgia dei seni paranasali delle tecniche microchirurgiche microscopiche con le tecniche endoscopiche, da lui chiamata MECA (Microscopic Endoscopic Combined Approach).
Il microscopio consente rispetto alle ottiche una superiore velocità e capacità di ingrandimento nelle visioni frontali e mai si appanna. Le ottiche sono insostituibili nelle visioni laterali e nel portare la visione a pochi mm da dove serve. L’utilizzo combinato in sinergia delle due tecniche consente di avere i migliori risultati possibili perché è come se si fosse operati da due chirurghi differenti con tecniche complementari.
Nella Foto
Preparazione per un intervento di chirurgia del naso e dei seni paranasali. Sul retro il microscopio operatorio, al centro l’infermiera ferrista ed i tavoli servitori, a destra l’attrezzatura per le ottiche
Case history
ADENOMA DELL’IPOFISI

Paziente da noi operato con tecnica microscopica ed endoscopica.
Innovazione mondiale
CHIRURGIA DASD: DUCT AND SAC DECOMPRESSION
PER RISOLVERE DEFINITIVAMENTE LA VERTIGINE DI MÉNIÈRE
Altre innovazioni chirurgiche
Chirurgia funzionale nasale con tecnica microchirurgica e di scollamento monolaterale.
Riduce del 90% il traumatismo chirurgico rispetto alle tecniche tradizionali.
Grandi risultati si ottengono nella chirurgia dell’orecchio per il recupero uditivo.
Già nel 2002 ha pubblicato in USA la sua casistica su 50 pazienti anziani, tra 75 e 86 anni che hanno recuperato l’udito a seguito di intervento di stapedotomia in anestesia locale con dimissione il giorno dopo: Otosclerosis and stapedoplasty in older adults. J Am Geriatr Soc 2002 Aug;50(8):1396-400.
Nella foto
Nell’immagine l’esecuzione di un intervento di otosclerosi,
in anestesia locale. Il paziente è sveglio ed ha la visione al di sotto dei telini aperti lateralmente, può parlare con il chirurgo e al termine dell’intervento torna immediatamente a sentire bene.
Innovazione chirurgica
Utilizzo di tutte le tecniche, dalle radiofrequenze alla laser chirurgia alle chirurgia endoscopica con le ottiche.
La chirurgia dei tumori viene sempre eseguita ricercando con tutte le possibilità la conservazione degli organi. I trattamenti integrati di chirurgia, radio e chemioterapia sono la norma.
Nella foto
Un ragazzo di 22 anni in cui un dente malposizionato ha provocato un traumatismo cronico della lingua da cui un tumore maligno di metà lingua, del pavimento buccale, della mandibola con metastasi ai linfonodi del collo. Qui si vede una fase dell’intervento di asportazione del tumore mentre a destra l’equipe prepara un lembo dal braccio per effettuare la ricostruzione.
Innovazione chirurgica
Utilizzo di tutte le tecniche, dalle radiofrequenze alla laser chirurgia alle chirurgia endoscopica con le ottiche.
La chirurgia dei tumori viene sempre eseguita ricercando con tutte le possibilità la conservazione degli organi. I trattamenti integrati di chirurgia, radio e chemioterapia sono la norma.
Nella foto
Un ragazzo di 22 anni in cui un dente malposizionato ha provocato un traumatismo cronico della lingua da cui un tumore maligno di metà lingua, del pavimento buccale, della mandibola con metastasi ai linfonodi del collo. Qui si vede una fase dell’intervento di asportazione del tumore mentre a destra l’equipe prepara un lembo dal braccio per effettuare la ricostruzione.
Innovazione chirurgica
Sindrome di Minor
Intervento di ricostruzione della parete deiscente a contatto con la meninge della fossa cranica media.
Il prof. Salvinelli ha migliorato la tecnica di ricostruzione della parete deiscente (resurfacing) con un approccio dalla mastoide.
Questo approccio è un vantaggio notevole rispetto alla craniotomia della fossa media, che richiede una procedura più lunga, comporta rischi neurochirurgici.