La laringe è un organo delicato e sensibile. Può essere colpito da patologie da lievi a gravissime. In tutti i casi, se non si trascurano i sintomi, si arriva alla diagnosi precoce ed alla completa guarigione.
La laringe è un organo delicato e sensibile.
Può essere colpito da patologie da lievi a gravissime. In tutti i casi, se non si trascurano i sintomi, si arriva alla diagnosi precoce ed alla completa guarigione.
COM’È FATTA LA LARINGE?
La laringe è posta tra la trachea e il faringe (la bocca) ed è l’organo vocale che consente la fonazione (l’emissione dei suoni).

La laringe

La laringe nel collo

La laringe nel collo vista di lato. L’epiglottide separa la trachea sottostante (via aerea) dall’esofago (via digestiva).
Comprende uno scheletro osseo e cartilagineo e le corde vocali.
Le corde si muovono per l’emissione di aria dai polmoni. Durante la respirazione si divaricano e durante la fonazione si accollano. Ogni alterazione di questo meccanismo può causare disfonia (alterazione della voce) e/o dispnea (alterazione della respirazione). In caso di alterazioni sulla epiglottide (superiore alle corde vocali) il sintomo è l’alimentazione dolorosa (disfagia).
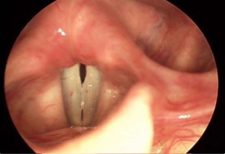
Corde vocali e Glottide

Glottide in fase respiratoria

Glottide in fase fonatoria
La glottide si compone delle due corde, della commissura anteriore dove le corde si congiungono e della commissura posteriore dove le due corde sono più lontane). Durante la respirazione si allontanano, durante la fonazione si allontanano.

Anatomia normale delle corde vocali nella fase respiratoria.
Al di sotto si vedono gli anelli tracheali.
LARINGITE ACUTA
Sono causate da virus associati a batteri (pneumococco, haemophilus Influenthiae) che possono interessare anche la
trachea, i bronchi, i polmoni. In genere segue un analogo processo a carico delle prime vie aeree.
Sintomi:
- Disfonia (calo della voce)
- Tosse secca
- Senso di “secchezza” in gola
La terapia si basa classicamente su:
- Antibiotici
- Antinfiammatori e mucolitici per via aerosolica e per via orale
LARINGITE ACUTA
Sono causate da virus associati a batteri (pneumococco, haemophilus Influenthiae) che possono interessare anche la trachea, i bronchi, i polmoni. In genere segue un analogo processo a carico delle prime vie aeree.
Sintomi:
- Disfonia (calo della voce)
- Tosse secca
- Senso di “secchezza” in gola
La terapia si basa classicamente su:
- Antibiotici
- Antinfiammatori e mucolitici per via aerosolica e per via orale
QUALI SONO LE CAUSE DELL’INFIAMMAZIONE CRONICA DELLA LARINGE?
Il cattivo uso o l’abuso della voce possono portare a un processo infiammatorio cronico. Le persone più esposte sono quelle che devono parlare molto per lavoro. Altri elementi predisponenti sono l’abuso di alcool, il fumo di sigaretta, l’esposizione lavorativa ad agenti irritanti, il reflusso gastro-esofageo. La prevenzione si basa sulla riduzione dei fattori di rischio. La terapia riabilitativa foniatrica e logopedica è importante per superare le alterazioni di impostazione.
COSA SI DEVE FARE IN CASO DI LARINGITI DA REFLUSSO GASTRO-ESOFAGEO?
La terapia si basa inibitori della secrezione acida dello stomaco (pantoprazolo) e di farmaci a PH basico per tamponare l’acidità esofagea e gastrica. Si deve ricercare la presenza di Helicobacter (anticorpi antihelicobacter, Urea C13 breath test e soprattutto esofagogastroscopia con biopsie multiple). Nel caso di infezione da Helicobacter è necessario l’uso di antibiotici associati (claritromicina e amoxicillina e l’intervento del Gastroenterologo.

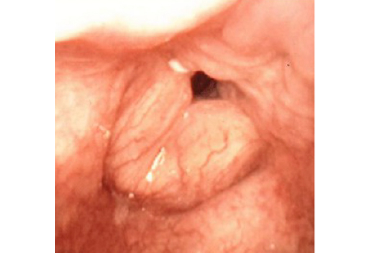
Infiammazione cronica della commissura posteriore da reflusso gastroesofageo.
COSA SI DEVE FARE IN CASO DI LARINGITI DA REFLUSSO GASTRO-ESOFAGEO?
La terapia si basa inibitori della secrezione acida dello stomaco (pantoprazolo) e di farmaci a PH basico per tamponare l’acidità esofagea e gastrica. Si deve ricercare la presenza di Helicobacter (anticorpi antihelicobacter, Urea C13 breath test e soprattutto esofagogastroscopia con biopsie multiple). Nel caso di infezione da Helicobacter è necessario l’uso di antibiotici associati (claritromicina e amoxicillina e l’intervento del Gastroenterologo.

Infiammazione cronica della commissura posteriore da reflusso gastroesofageo.
A COSA PUÒ PORTARE UNA INFIAMMAZIONE CRONICA?
Alterazioni comuni della mucosa di rivestimento delle corde vocali possono essere:
- Noduli
- Polipi
- Edema cordale
- Cisti
- Papillomi
- Granulomi (processi cicatriziali postraumatici)
Le alterazioni, specie in presenza di fattori di rischio quali il fumo e l’alcool possono
virare verso forme di precancerosi (stadio preliminare al tumore) fino a divenire tumori.
COME SI FA LA DIAGNOSI?
Con la storia clinica, i sintomi e la visita.
L’esame laringostroboscopico è importante per la migliore visualizzazione della laringe e dei suoi movimenti.

Fonazione

Esame Obiettivo Videolaringoscopico

Anatomia normale delle corde vocali nella fase respiratoria. Al di sotto si vedono gli anelli tracheali.

Mancato accollamento posteriore delle corde vocali.
La personalamenta disfonia.

Polipo del terzo medio della corda vocale di sinistra.

Noduli cordali sul terzo anteriore delle corde vocali.

Polipo della corda vocale sinistra con edema di entrambe le corde. Il colore bianco delle corde non è più visibile.

Edema bilaterale delle corde vocali.
Questo edema riduce la capacità respiratoria.
QUAL È LA TERAPIA?
Oggi la moderna terapia consente di curare tutta la patologia benigna e le precancerosi con procedure mininivasive in microlaringoscopia. Nel caso dei tumori la gran parte possono essere operati in micro laringoscopia con il laser CO2 senza segni visibili esterni e con dimissione da 1 a 4 giorni. Nel caso dei grandi tumori si rendono necessari trattamenti integrati radio chemioterapici e chirurgici alla ricerca del minor trauma possibile e del miglior risultato che è la vita del paziente. Importante ricordare che bisogna recarsi dall’Otorinolaringoiatra ai primi sintomi: la diagnosi precoce consente di arrivare prima dello sviluppo esteso del tumore e di ottenere così la guarigione più sicura, più rapida e meno traumatica.

Microlaringoscopia in sospensione.
Intervento in microlaringoscopia.

Microlaringoscopia in sospensione.
Schema della posizione chirurgica.
I TUMORI MALIGNI
La diagnosi istologica durante l’intervento di chirurgia laringea è sempre eseguita ed è fondamentale. La programmazione deve essere sempre fatta prima con l’esame obiettivo e la diagnostica per immagini ma le risposte possono essere impreviste. Fattori di rischio sono il fumo, l’alcool, l’esposizione ad ambienti con esalazione di sostanze tossiche.
Nella maggioranza dei casi dei tumori maligni la risposta al prelievo è prevedibile, per i particolari caratteri e la sintomatologia. Tra i sintomi possibili: abbassamento di voce persistente, deglutizione dolorosa, dispnea.
L’ingrandimento delle linfoghiandole del collo è possibile e va trattato insieme alla patologia primitiva. In caso di tumori maligni la tecnica chirurgica che noi adottiamo, microchirurgia ed endoscopia è la stessa con l’uso contestuale del Laser CO2. Ma molti e vari sono gli approcci chirurgici utilizzati, a volte esterni o combinati e l’integrazione radio chemio terapica. Questa patologia deve essere ben discussa con il chirurgo e per questo non ne parlo su un sito che per sua natura è divulgativo e parziale.
In questi casi, tutta la Clinica Otorinolaringoiatrica dell’Università Campus Biomedico e tutto il supporto congiunto della Clinica Oncologica e Radioterapica si batte insieme alla persona per i migliori risultati e la migliore conservazione funzionale.

La strumentazione utilizzata: a destra il microscopio neurochirurgico,
in primo piano a destra e a sinistra i due laser, in fondo le ottiche.